Skip to content
053-217-726
Line: @ybdentalclinic
yandbdentalclinic@gmail.com
Y&B Dental Clinic
home
about us
Treatments
reviews
prices
PROMOTION
blogs
contact us
Reviews
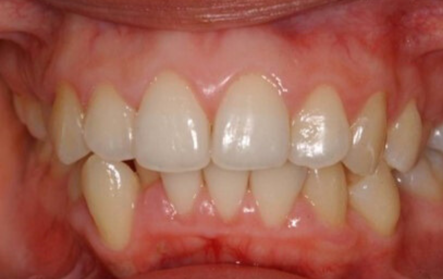
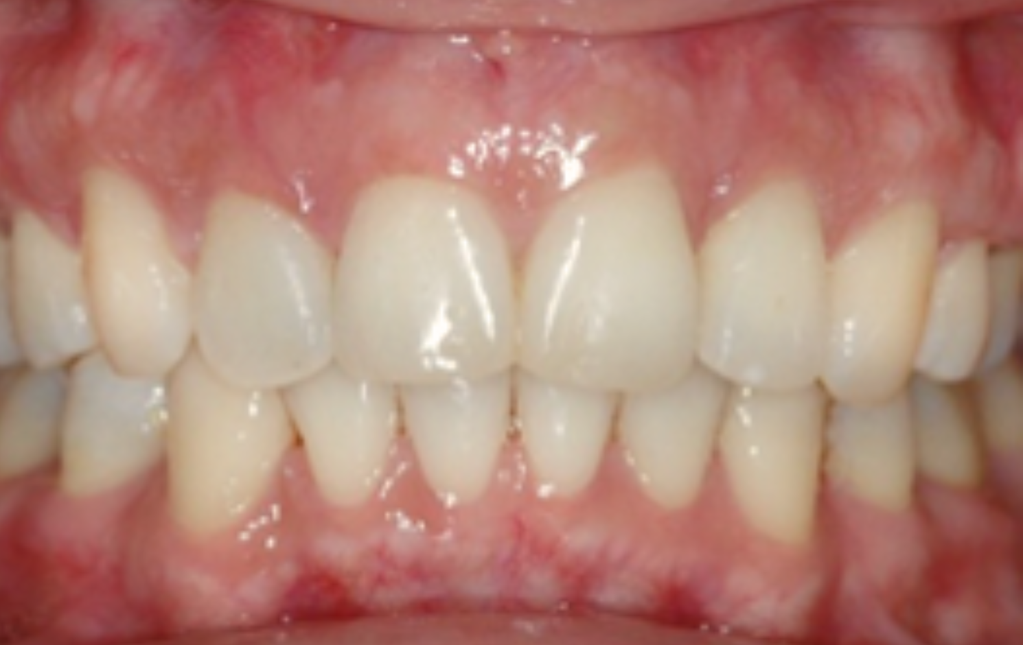
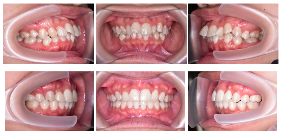
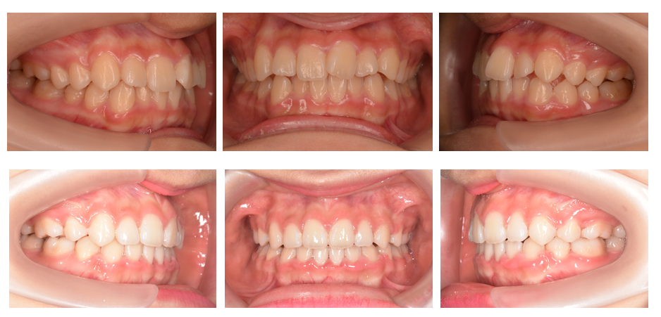
Over Bite
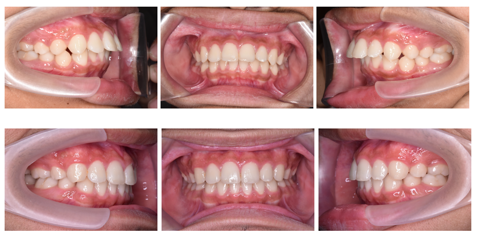
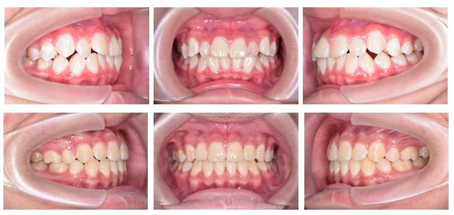
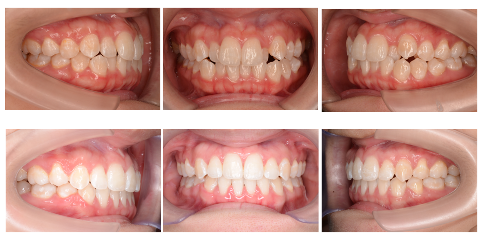
Crowded teeth
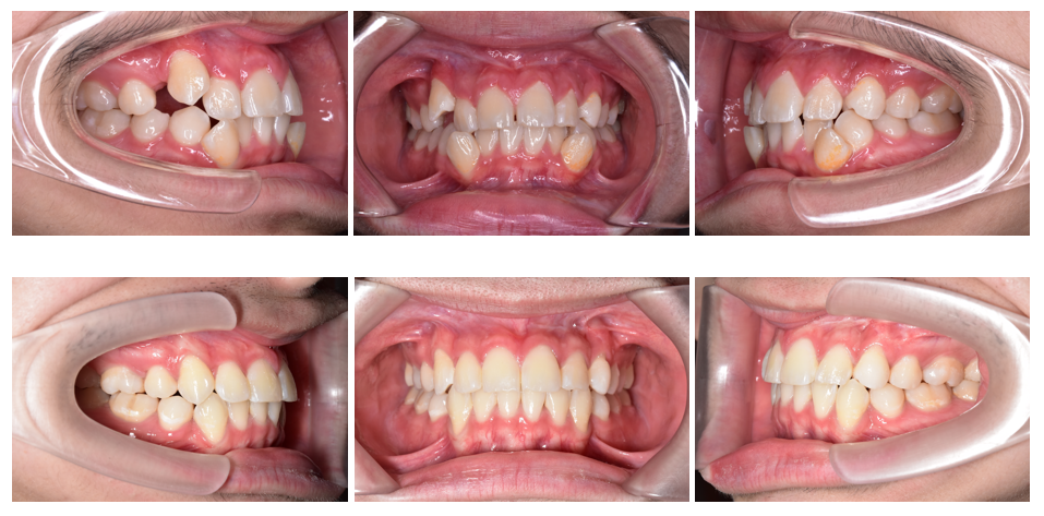
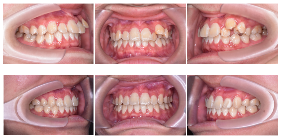
Retreatment of Protrude teeth and lips
home
about us
Treatments
reviews
prices
PROMOTION
blogs
contact us